Маршевый перелом. Симптомы и терапия перелома стопы (маршевая стопа)
Содержание
Маршевый перелом: что это такое, механизм развития, диагностика и лечение пациента

Маршевый перелом представляет собой стрессовый перелом костей предплюсны. Эта патология возникает в результате чрезмерной и продолжительной ходьбы. Заболевание часто возникает у солдат и военных служащих после марш-броска. Патология также характерна для атлетов, которые подвергают себя чрезмерным физическим нагрузкам.
Что такое маршевый перелом
Маршевый перелом плюсневой кости нередко возникает из-за неудобной обуви, перенапряжении во время физических упражнений. причина патологии – возникновение одной или нескольких трещин в утолщенной части плюсневой кости.
Стрессовый перелом часто формируется в костях голени, большеберцовой кости. В разных условиях происходит несоответствие напряжения мышц нижних конечностей к нагрузкам. Заболевание часто проявляется при повторном выполнении упражнений.
Механизм развития маршевой стопы
Маршевый перелом стопы еще называют болезнью Дейчлендера. Патологические изменения возникают в средней части плюсневой кости. Костная ткань начинает перестраиваться в результате механических и статико-динамических факторов.
В большинстве случаев трещины возникают только на одной кости. Существует вероятность одновременного или последовательного поражения нескольких костей. При маршевой стопе происходит патологическая трансформация костной ткани. Этот процесс не связан с воспалительным процессом или опухолью.
Кто входит в группу риска
Маршевые переломы стопы или ноги возникают у людей разных профессий. На возникновение этой болезни влияют разные факторы. В группу риска попадают:
- Молодые призывники. Человек попадает в особые условия, при которых может потребоваться ношение неудобно обуви. Новобранцам приходится сталкиваться с чрезмерными физическими нагрузками. Эти факторы способствуют тому, что на тонких костях возникают единичные или многочисленные трещины.
 - Профессиональные туристы и любители активного отдыха. В таком случае человек сталкивается с усталостным маршевым переломом. Ему приходится длительное время ходить по пересеченной местности горного типа. На ноги приходится вся нагрузка – масса тела, рюкзак и дополнительное снаряжение.
 - Спортсмены. Когда человек готовится к соревнованиям, он нагружает себя изнурительными тренировками. В результате существует высокий риск получения травмы.
 - Люди, которым большую часть времени приходится проводить на ногах. Это могут быть парикмахеры, продавцы, грузчики, работники медицины, курьеры.
 
Молодые призывники входят в группу риска
Патология возникает в результате функциональной перегрузки стопы. Она не связана с воспалительным процессом или онкологическими новообразованиями.
Симптомы и стадии
Многие люди хотят узнать, какие особенности ощущения и признаки маршевого перелома. При возникновении трещин возникает сильный болевой синдром. Существует несколько стадий развития патологии.
Острая
Маршевый перелом кости острой формы проявляется острой болью. Возникает сильное перенапряжение и легкая припухлость. Ощущение болезненности носит постоянный характер, и начинает постепенно утихать спустя 2-3 дня после получения травмы.
Подострая
При маршевом переломе кости подострой формы болезненность регулярно нарастает и утихает. Человек ощущает периоды облегчения и сильной боли.
Хроническая
Болезненность начинает нарастать постепенно. Спустя время человек не может самостоятельно ходить, потому что возникает острая боль. Нога сильно опухает, поэтому ношение обуви становится затруднительным.
В области поражения возникает плотная припухлость. Кожа становится более чувствительной. Изменение оттенка кожных покровов возникает редко.
Первая помощь
При получении маршевого перелома кости, необходимо положить ногу на твердую поверхность и обеспечить полный покой больному. Важно осмотреть поврежденное место на наличие других повреждений и травм. Можно вызвать скорую помощь и пройти обследование в клинических условиях.
Первая помощь:
- освобождение ноги от обуви;
 - можно принять обезболивающий препарат для облегчения состояния;
 - рекомендуется поднять сломанную конечность и подложить валик (можно улучшить отток крови от поврежденного места).
 
Первое, что надо сделать при маршевом переломе это освободить ногу от обуви
Чтобы облегчить состояние и предотвратить возникновение отека, можно наложить охлаждающие средства. В аптеках продают специальные пакеты со льдом. Для предотвращения обморожения его нужно обмотать полотенцем.
Лечение
В большинстве случаев маршевый перелом не требует оказания первой помощи, а также радикальных мер. Лечение основано на применении консервативных методик. Ниже приведены методы терапии и рекомендации для быстрого выздоровления:
- Важно исключить негативное воздействие неблагоприятных факторов, которые привели к возникновению маршевой болезни. Нужно обеспечить ноге полный покой, исключить физические нагрузки, которые связаны с длительным давлением на стопу.
 - Наложение гипсовой лонгеты. Благодаря этому можно значительно разгрузить давление на плюсневую кость, оградить себя от лишнего движения в конечности.
 - Ношение специальной обуви и ортопедической стельки. Они помогают перераспределить нагрузку, чтобы кость восстанавливалась быстрее.
 - Физиотерапевтические процедуры. После консультации и диагностики врач может назначить пациенту прохождение курса магнитотерапии, электрофореза, озокерита. Это эффективные процедуры, которые способствуют быстрой регенерации конечностей и уменьшению болевых ощущений.
 - Дополнительно назначаются мази и гели, которые обладают местным противовоспалительным и обезболивающим эффектом.
 - Прием препаратов для восполнения кальция в организме. Это важный элемент, который является строительным материалом для организма. Кальций помогает быстрому восстановлению костей.
 
Наложение гипсовой лонгеты входит в лечение маршевого перелома
Если лечение начато несвоевременно, происходит медленная перестройка костной структуры. При подозрении на перелом, необходимо обратиться к врачу и сделать рентгенограмму. Чтобы точно определить поврежденный участок, можно сделать томографию.
Последствия
Если пациент не хочет лечиться и не соблюдает все рекомендации от лечащего врача, он может столкнуться со следующими неприятными последствиями:
- сильная деформация стопы;
 - развитие артроза;
 - если кость срастается неправильно, при длительных нагрузках проявляется болезненность;
 - движение в стопе становится ограниченным.
 
Если пациенту назначено правильное лечение, прогноз на полное восстановление и выздоровление благоприятный. После терапии человек сможет вернуться к привычному образу жизни.
Меры профилактики
Чтобы предотвратить возникновение серьезных травм в плюсневой кости, необходимо соблюдать меры предосторожности. Можно выделить следующие рекомендации:
- нельзя самостоятельно диагностировать перелом или возникновение трещины (в таком случае важно заниматься на помощь к врачу);
 - ношение удобной обуви, которая точно соответствует размеру;
 - исключение длительных пеших прогулок;
 - регулярное посещение врача для прохождения профилактического осмотра, чтобы своевременно определить проблему;
 - соблюдение всех рекомендаций и правил от ортопеда.
 
Врач обязательно учитывает состояние организма и костной ткани. Маршевый перелом не является смертельно опасным для человека, потому что в процессе жизни человек сталкивается с разным поражением скелета и костей конечностей.
Источник: https://nettravm.ru/marshevyj-perelom-01/
Маршевый перелом: как распознать и лечить

 Постоянный бег в неправильно подобранной обуви – риск для стрессового перелома.
В статье будет рассказано о стрессовом переломе. Что это такое, как и когда возникает, и почему имеет такое интересное название – разберемся далее. Кроме вышеперечисленного обратим внимание на риски и возможные варианты лечения данной патологии.
Общее представление
Термин маршевый перелом наиболее точно характеризует этиологию возникновения. Это стрессовый перелом костей предплюсны, возникающий вследствие чрезмерной ходьбы, которую испытывают чаще всего военные при марш-бросках, или же атлеты.
Стрессовый перелом сам по себе может сформироваться не только в этой области, но и в любой другой, например, в костях голени, особенно в большеберцовой, оказывая множество проблем для профессиональных спортсменов или любителей активного образа жизни.
Принцип формирования заключается в несоответствии напряжения на мышцы нижних конечностей и их возможности вынести такое воздействие. Чаще возникает при повторных упражнениях, приводящих в результате к чрезмерному воздействию.Важно! У каждой кости есть свой предел выносливости – такой уровень нагрузки, повторение которого не приведет к повреждению ткани. Его превышение опасно формированием стрессового перелома как минимум.
Прицельная рентгенограмма костей предплюсны с указанием на стрессовый перелом.
Интересно, что существует достаточно обширный спектр тяжести стрессовых переломов, каждый из которых требует своих принципов лечения и имеет разные прогнозы на выздоровление.
Клинические проявления в большей степени зависят от локализации данного перелома и той активности, которая стала для данной травмы причиной.
Ранее считалось, что стрессовый перелом как таковой может возникнуть только в кости, больше всех испытывающей вес, такой как большеберцовая кость. Отсюда бег и прыжки рассматривались до банальности стандартным причинным фактором повреждения. В последнее время все чаще выставляемый диагноз стрессовый перелом верхней конечности внес поправку в ранее известный диагноз.
Схематическое изображение с указанием локализации маршевого перелома.
Маршевый перелом кости в свою очередь не может называться просто стрессовым переломом, так как требует в обязательном порядке уточнения своей локализации. Впервые описанный в середине XIX века у солдат прусской армии, травма начала рассматриваться как последствие повторяющихся действий, в результате которых формируется хоть и неполный, но все же перелом костей предплюсны.
Как же это случилось?
Повторяющиеся в течение продолжительного времени механические действия, как ходьба на большие расстояния оказывают значительное напряжение на кость, в результате чего кость претерпевает такое количество микроповреждений, достаточных для клинически значимого стрессового перелома.
Как и любое уважающее себя заболевание, данная патология имеет свои стадии формирования:
- Основание трещины в кости. Локализацией служит место в предплюсневой кости, наиболее подверженное повторным нагрузкам. Наиболее часто это случается на стыке костных тканей различной плотности, к примеру, лакун и окружающих их других гистологических единиц кости. Инициации формирования трещины самой по себе недостаточно для развития ее клинических проявлений. Не смотря на распространенную догадку о негативном результате формирования трещины в кости, есть и положительные моменты, а именно – ремоделирование кости. Микротравмы костной ткани стимулируют ее к укреплению и повышению плотности, что не может не оказать позитивного воздействия.
 - Распространение трещины. В случае если механические воздействия повторяются со своей периодичностью – это нарушает процесс заживления микроповреждений и приводит к их распространению. Наиболее частым местом, в котором микротравматизации стремятся к увеличению в размере, являются стыки между остеонами – структурными единицами трубчатых костей. Продолжение повреждающих нагрузок на кости предплюсны стимулируют не только увеличиваться в размере появившихся трещин, но и сливаться их между собой в единый и клинически значимый для пациента стрессовый перелом.
 - Полноценный перелом. Подобная завершающая стадия становится неким апогеем всей истории со сформировавшимся стрессовым переломом. Клиника, указывающая на патологию, и стимулирующая тем самым обладателя данного перелома к смене активности и снижении нагрузки на кости стопы значительно ухудшается, когда соединившиеся между собой трещины перерастают в полный перелом кости. В таком случае человеку сразу становится понятно, что такое маршевый перелом.
 
Локализация повреждений при маршевой стопе.
Не стоит забывать, что нагрузка нагрузке – рознь. Это значит, что не каждая трещина может перерасти в перелом, знакомый каждому третьему человеку еще с детства. На это влияет не только исходное состояние костей скелета, но и вид травмирующего воздействия.
Так, солдат, часто испытывающий марш-броски с сумкой весом более десяти килограмм больше подвержен формированию полного перелома кости, нежели атлет, страдающий от стрессового перелома, но продолжающий бегать несколько раз в неделю, не смотря на предостерегающую боль в ноге.
Здоровая костная ткань всегда находится в балансе между появлением микроповреждений и их срастанием. Эти два противоположных по своей сущности процесса создают гомеостаз в опорно-двигательном аппарате и позволяют не бояться любого удара или падения, угрожающего костылям минимум на три недели. Более подробно об этом процессе рассказано в видео в этой статье.
Стрессовый перелом – частая патология у солдат, бегунов и грузчиков.
Важно! Любая чрезмерная нагрузка приводит к микроповреждению в кости, однако не каждая травма рискует стать переломом.
Факторы риска или подвержен ли я
Способность костной ткани к самовосстановлению ограничена рядом механических и биологических факторов
- возраст;
 - пол;
 - нейромышечное соединение;
 - гормональный статус;
 - питание;
 - генетические факторы.
 
Другие факторы не меньше влияющие на процесс формирования стрессового перелома являются кровоснабжение костей стопы, исходная спортивная подготовка, неподходящая для определенной активности обувь, неправильная техника выполнения упражнений и т.д.
Несоответствующая активности обувь часто является причиной травм.
Важно! Правильно подобранная в индивидуальном порядке спортивная подготовка – цена целых костей и удовольствия от спорта.
Интересный факт, что сокращения мышц могут быть как провоцирующим фактором для формирования стрессового перелома, так и предупреждающим его. Примером повреждающего воздействия может быть акт бросания мяча рукой, при котором мышцы, входящие в группу так называемой вращательной манжеты плеча, приводят к ротаторной нагрузке непосредственно на плечевую кость.
Среди профессий, больше всех предрасположенных стать «счастливыми» обладателям маршевой стопы, выделяют солдат, особенно новобранцев, физически недостаточно подготовленных к выполнению всей нагрузки, люди, чей ежедневный труд связан с ходьбой с дополнительным весом, например грузчики, а также атлеты, которые еще не научились доатсточно рассчитывать силы и возможности своего опорно-двигательного аппарата.
Маршевая стопа – частая патология среди солдат-новобранцев.
Внимание! Инструкция к выполнению упражнений – это разумно составленный план, следование которому обезопасит человека от ненужных и тем более нежелательных травм.
Маршевая стопа – как ее заподозрить
Самым частым первым симптомом среди пациентов с диагнозом стрессовый перелом предплюсны является боль, возникающая в момент выполнения физической нагрузки. Вначале болевой синдром достаточно ожидаем, так как он беспокоит пациента только в момент выполнения специфического вида активности.
Отсутствие лечения, о вариантах которого мы поговорим позже, приводит к тому, что провоцирующий фактор боли меняется – уже более простое действие может вызвать ее.
Если вначале было известно, что при беге болит нога, и если пропустить привычную пробежку в субботу утром, то боль утихнет, то теперь обычная ходьба и подъем с постели вызывает не просто дискомфорт, а необходимость хромать для уменьшения боли.
Повторяющаяся чрезмерная активность – верный путь к стрессовому перелому.Более страшным результатом игнорирования болевого синдрома и продолжения провоцирующей активности без внесения различных модификаций, является формирование полноценного перелома.
Визуально определяемый отек в области стопы – частый спутник маршевой стопы. При пальпации костей предплюсны определяются точки повышенной чувствительности, что вызывает резкую боль в стопе.
Маршевая стопа – план действий
Диагностика – важный пункт в назначении правильного лечения. Почему это важно? В некоторых случаях бывает сложно дифференцировать между стрессовым и истинным переломом костей предплюсны. На помощь в таком случае приходит современная технология.
МРТ-диагностика маршевого перелома более точна, чем рентгенография.
Рентгенологический метод является одним из наиболее простых в исполнении и дешевых для подтверждения диагноза маршевой стопы.
Однако, часто вначале заболевания (в первые 2-3 недели), проведенная рентгенограмма может стать ложноотрицательной, так как не начались процессы заживления и небольшие трещины, достаточные для беспокойства пациента, невозможно визуализировать.
В таком случае врач может предложить другие диагностические мероприятия.
Самым чувствительным методом диагностики как в случае с маршевой стопой, так и с любым другим стрессовым переломом различной локализации считается сцинтиграфия костей. Его чувствительность достигает цифры почти в 100%.
Классификация маршевой стопы
Как и любой другой стрессовый перелом, маршевый может быть классифицирован благодаря делению данного вида травм, принятого широким кругом специалистов.
| Вид стрессового перелома | Характерная особенность | 
| Перелом «высокого» риска (англ., high-risk stress fracture) | Для отнесения перелома в данную категорию требуется его соответствие хотя бы одному из критериев:
  | 
| Перелом «низкого» риска (англ., low-risk stress fracture) | Специфических критериев для переломов данной группы нет, они скорее становятся диагнозом, если отсутствуют критерии для стрессового перелома высокого риска. | 
Внимание! Важным пунктом является локализация кости. Среди костей наиболее подверженных перелому высокого риска относится пятая предплюсневая кость, а именно ее проксимальный метафиз.
Перелом без костылей
На фото представлена стандартная картина атлета, страдающего стрессовым переломом.
В лечении на первое место выступает ограничение воздействия повреждающего фактора, а именно – покой.
В большинстве случаев этого вполне достаточно для достижения цели.
Однако для стрессового перелома предплюсны пятого пальца как места, подверженного для развития перелома «высокого» риска, иногда может потребоваться более серьезная тактика.
Хирургическая стабилизация – самый крайний вариант такой тактики, однако он достаточно редко применяется при маршевой стопе. Для быстрого заживления важен покой нижней конечности на срок не менее двух недель и подходящая обувь.
Источник: https://Travm.info/patologii/perelomy/marshevyj-perelom-989
Диагностика и лечение маршевого перелома плюсневой кости стопы

Под словом «перелом» чаще всего подразумевается остро возникшее заболевание с характерными симптомами. Предшествует ему обычно травма (падение, удар, наезд автомобиля и т. д.). Однако немногие слышали про маршевый перелом стопы (болезнь Дейчлендера, усталостный перелом). Более того, большинство людей не подозревают, что сами столкнулись с данной болезнью.
Причины развития
Что может вызвать маршевый перелом плюсневой кости можно понять из названия болезни. Впервые заболевание было описано у новобранцев в армии. Резкая смена обстановки, большие физические нагрузки, неудобная обувь и, конечно, марши с четким шагом – все это провоцирует образование небольших трещин в толще плюсневой кости.
В норме организм может самостоятельно все восстановить в течение нескольких дней, но для этого необходим отдых. Если неблагоприятные факторы повторяются ежедневно, то регенерация попросту не справляется и плюсневая кость страдает все больше.
Не стоит думать, что маршевые переломы грозят исключительно солдатам. Помимо них, можно выделить несколько групп риска образования маршевой стопы:
- Туристы, преодолевающие сотни километров пешком с огромной кладью за плечами.
 - Профессиональные спортсмены, нагружающие организм до предела на ежедневных тренировках.
 - Любительницы длительных пеших прогулок на модной обуви с высоким каблуком. В этом случае стопа теряет свои амортизирующие свойства, и максимум нагрузки ложится на тонкие плюсневые кости.
 - Представители профессий, которые длительное время стоят на ногах: продавцы, парикмахеры, экскурсионные гиды, бармены, официанты и т. д.
 - Лица с остеопорозом (уменьшением плотности костной ткани) – для развития маршевой стопы порой достаточно и незначительной нагрузки.
 
Как маршевая стопа проявляется клинически
Если при обычном переломе симптомы ярко выражены и нарастают в течение нескольких десятков минут, то при маршевой болезни все далеко не так.
Основной признак маршевого перелома – болевые ощущения в середине стопы. При этом боль может быть двух типов:
- Острая боль – появляется буквально спустя несколько дней после значительной нагрузки на стопу. Пациент может без проблем связать эти два события, что способствует ранней диагностики такой перелома.
 - Боль хроническая – встречается намного более часто, чем острая. Начинается она в виде незначительного неприятного ощущения во второй половине дня. Постепенно боли в маршевой стопе нарастают и беспокоят на протяжении всего дня. Болевые ощущения локализуются над поврежденной костью.
 
Всего в стопе 5 плюсневых костей, каждая из которых расположена позади соответствующего пальца и представляет собой тонкую трубочку. Наиболее подвержены маршевому перелому 2 и 3 плюсневые кости.
 При надавливании на кожу сам пациент может легко определить, в каком месте стопы симптом наиболее выражен, что и указывает на примерное расположение перелома.
Методы диагностики
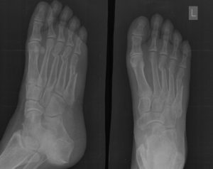
Если выполнить рентгенологическое исследование в первые недели после физической нагрузки и появления боли, то можно ничего не обнаружить. При типичном переломе повреждается кортикальный слой кости и нередко происходит смещение, что хорошо видно на снимке. Маршевый перелом – это локальное повреждение кости, боль локализуется в центре, наблюдается медленная перестройка ее структуры.
Характерные признаки маршевого перелома на рентгенограмме:
- Участок просветления в виде полосы, расположенной поперек кости – это и есть зона, где в результате перестройки старая ткань не успевает своевременно заменяться новой.
 - С первого взгляда на маршевую стопу, может сложиться впечатление, что кость разделена на 2 части, отличающиеся друг от друга своей структурой. Они никогда не бывают смещенными друг относительно друга. Смещение отломков кости – это всегда признак обыкновенного травматического перелома.
 - Вокруг участка просветления кость может изменять свою форму и напоминать веретено. Это следствие постоянных регенеративных процессов. Врач, увидев такое утолщение, может расценить его как сформированную костную мозоль – последствие давнего перелома.
 
Томография является более дорогостоящим, но информативным методом в определении маршевого перелома, поскольку позволяет послойно рассмотреть кость и выявить патологию даже в самом ее центре.
Лечение маршевого перелома
Маршевая стопа не является смертельно опасной и не требует экстренных радикальных мер. Обычно медики обходятся консервативными методиками.
- Главное – исключить воздействие неблагоприятного фактора, спровоцировавшего маршевую болезнь. Пациент освобождается от любых физических нагрузок, которые связаны с длительной опорой на стопу.
 - Гипсовая лонгета – позволяет разгрузить плюсневые кости и предотвратить лишние движения в конечности, обеспечивая максимальный покой пораженному органу.
 - Специальные ортопедические стельки или обувь, рационально перераспределяют нагрузку на маршевую стопу таким образом, что расположенные рядом кости берут все на себя и обеспечиваются условия для восстановления.
 - Физиотерапия – электрофорез, магнит, озокерит. Все эти процедуры ускоряют регенерацию и уменьшают боль.
 - Местно можно использовать гели и мази с обезболивающими и противовоспалительными препаратами. Это позволяет быстро устранить боль и избавляет от необходимости принимать таблетки внутрь (все противовоспалительные средства вредны для желудка).
 - Препараты кальция – поставляют в организм строительный материал, необходимый для восстановления кости.
 
Реабилитация
Курс лечения маршевого перелома длится приблизительно 3–4 недели, после чего врач выполняет контрольный снимок. Если там имеются признаки восстановления прочности костей, то приступают к реабилитационным мероприятиям.
- Массаж – позволяет расслабить мышцы голени и стопы, что дает возможность восстановить объем движений и уменьшить неприятные ощущения.
 - Физиотерапевтические методы – применяются примерно те же, что и на стадии лечения.
 - Лечебная физкультура.
 - Пациенту необходимо длительное время после маршевого перелома использовать ортопедическую обувь, для предотвращения рецидива.
 
Возможные осложнения
Если человек не обращает внимания на боли или просто принимает анальгетики, продолжая подвергать организм чрезмерным нагрузкам, то с большой долей вероятности маршевая стопа может привести к следующим осложнениям:
• Значительная гипертрофия костей плюсны на участках, расположенных ближе к пальцам. В результате могут вовлекаться в процесс нервные веточки и существенно усиливаться боль. • Развитие остеопороза и предрасположенности к обычному перелому даже при незначительной травме.
• Артроз мелких суставов стопы – прогрессирующее дегенеративное заболевание, которое обычно выявляется у пожилых пациентов. Деформация свода стопы в молодом возрасте, может спровоцировать разрушение суставных хрящей. Жизни человека это не угрожает, но вот качество ее страдает сильно.
Людям из группы риска необходимо помнить о таком заболевании, как маршевый перелом и при появлении первых признаков обращаться за помощью. Очень важно следить за качеством обуви и стараться приобретать те модели, которые обеспечивают наиболее физиологичное положение. Красота требует жертв, но жертвы эти должны быть разумными!
Диагностика и лечение маршевого перелома плюсневой кости стопы Ссылка на основную публикацию
Источник: https://NaNogah.com/injury/marshevyj-perelom.html
Маршевый перелом стопы

Из-за чрезмерной нагрузки на нижние конечности у некоторых людей может развиться патология, именуемая как маршевая стопа. В медицинском справочнике это заболевание также значится, как маршевый перелом или болезнь Дейчлендера. А еще ее называют болезнью новобранцев, не привыкших к ежедневным марш-броскам.
Происходит патологическое изменение структуры плюсневых костей.
Кроме профессиональной предрасположенности (молодые бойцы в начале службы, люди, чей род занятий связан с постоянным пребыванием на ногах, длительной ходьбой или переноской тяжелых грузов), данная патология может быть следствием плоскостопия или длительного ношения неудобной обуви.
Причины развития патологии
Существует несколько групп риска, у кого вследствие их постоянной деятельности может произойти данное структурное изменение стоп.
Молодые люди попадают в непривычные для себя условия:
- неудобная обувь;
 - чрезмерная физическая нагрузка, вызванная ежедневными длительными тренировками (бег, марш-броски, силовые упражнения).
 
Эти условия неблагоприятно сказываются на состоянии тонких, весьма уязвимых, костей стопы. От длительного и чрезмерного давления может произойти перелом.
Наиболее подвержена изменению 2-я плюсневая кость, иногда маршевая стопа захватывает 3-ю и 4-ю. Гораздо реже наблюдается перелом 1-й и 5-й плюсневых костей.
Обратите внимание, патология даже названа в честь данной группы «маршевая», то есть из-за изнурительных маршей.
- Профессионалы и любители туристического отдыха.
 
Здесь также не избежать длительных переходов по пересеченной местности, особенно, горного типа. Нижние конечности не только должны выдерживать вес тела, но и справляться с дополнительными нагрузками (рюкзак со снаряжением, подъемы и спуски).
Правда, туристы – это не только отдыхающие на лоне природы. Любители увлекательных туристических поездок с осмотром достопримечательностей также могут стать жертвами развития патологии.
Особенно это касается женщин, которые предпочитают носить обувь на каблуке.
Ни в коем случае не стоит обувать такие туфли, для длительных прогулок следует приобретать удобную, свободную, мягкую обувь на плоском ходу.
- Профессиональные спортсмены со стажем.
 
Велик риск получить перелом тонких костей стопы 
у профессиональных спортсменов
Велик риск получить перелом тонких костей стопы в момент изнурительных тренировок при подготовке к соревнованиям. Патология может развиться у спортсменов, которые какое-то время не занимались, а затем снова вошли в строй. Иногда причиной может стать смена модели спортивной обуви.
В группе риска профессии, требующие длительного пребывания на ногах:
- парикмахеры;
 - продавцы;
 - бармены, официанты, повара;
 - грузчики;
 - гиды;
 - медицинские работники;
 - манекенщицы;
 - курьеры и так далее.
 
Маршевая стопа спровоцирована:
- плоскостопием;
 - неподготовленностью организма к нагрузкам;
 - неудобной обувью.
 
Ее рассматривают исключительно, как патологическую перестройку диафизарной костной ткани, развивающуюся на фоне изменившихся внешних факторов и под действием постоянной функциональной перегрузки стопы. Патологию не стоит рассматривать, как воспалительную или онкологическую.
Симптоматика
Первым признаком нарушения становится боль. Она может быть острой или первично-хронической, в первом случае ярко выраженный симптом, во втором – менее выраженный:
- Острая: проявляется через несколько дней после перенапряжения (встречается реже);
 - Первично-хроническая: нарастающая, развивающаяся постепенно.
 
При маршевом переломе появляются болевые 
ощущения в средней части стопы
Болевые ощущения появляются в средней части стопы, иногда нестерпимые, интенсивные. В результате человек старается меньше нагружать травмированную конечность, походка изменяется, появляется хромота.
Из видимых симптомов отметим образование отечности стопы в области плюсневых костей разной интенсивности: там, где перелом, припухлость плотнее.
В зоне поражения наблюдается повышенная чувствительность кожного покрова. Изменение цвета кожи (покраснение) встречается очень редко.
Маршевой форме перелома не свойственны симптомы, сопровождающие большинство переломов костей: повышенная температура, изменение состава крови, открытая форма.
Диагностика
Болевые ощущения и отечность, как явные признаки нарушения, требуют обязательного обращения в медучреждение для выяснения причин, постановки диагноза и, конечно же, назначения терапии для избавления от расстройства.
Маршевый – это всегда закрытый перелом. Однако традиционной рентгенограммы может оказаться недостаточно, потому что на снимке характерных линий перелома не будет.
Нарушение целостности костной ткани происходит внутри, при этом поверхность косточки остается с виду нетронутой (отломки остаются соединенными тонким слоем костной ткани). Четкое фиксирование перелома маршевого типа с помощью рентгена можно различить только через месяц-полтора.
Когда рентгенограмма не дала результата, применяется пальпация. Если при прощупывании зоны поражения пациент ощущает резкую боль, если наблюдается характерная отечность средней части стопы, то и диагноз очевиден.
Для диагностирования перелома плюсневых костей также назначается МРТ. Особенно исследование действенно при свежих разрывах.
Отметим также, что патологическое изменение структуры плюсневых костей имеет несколько фаз:
- Наблюдаются начальные признаки перестройки структуры диафиза и окружающей его надкостницы. В поперечном сечении или немного вкось просматривается гомогенное просветление шириной 1-3 мм. Вокруг диафиза в зоне просветления образуется периостальная костная мозоль (локально или захватывает весь диафиз).
 - Усиление периостальных наслоений, приобретение костной структуры с выраженными признаками слоистости. Плотные наслоения на рентгене просматриваются хуже.
 - Просветление на рентгенограмме не просматривается из-за чрезмерного периостального наслоения. Диафиз утолщается и деформируется, особенно в зоне перестройки. Болевые ощущения сглаживаются.
 - Постепенное рассасывание периостальных наслоений, структура диафиза восстанавливается. На снимке диафиз выглядит утолщенным, но четким и с ровными краями.
 
Терапевтическое воздействие
Лечить перелом маршевого типа несложно. Применяются консервативные методы:
- на период лечения пациенту обеспечиваются условия максимального покоя конечности;
 - наложение гипсовой повязки сроком не менее месяца;
 - физиотерапия;
 - ЛФК;
 - массаж;
 - ортопедическая обувь или ортопедические стельки для обуви;
 - лекарственные средства местного назначения (мази, гели) обезболивающего действия и для снятия отечности.
 
При соблюдении правил лечения пациентам удается полностью выздороветь и снова вернуться к привычному образу жизни.
Маршевые стопы – не смертельное заболевание, но данное нарушение может привнести дискомфорт в повседневное течение жизни. Нужно следить за качеством обуви, не переусердствовать с физическими нагрузками, а в случае появления признаков патологического состояния не медлить с обращением к специалисту.
Источник: https://bezperelomov.com/nogi/marshevyj-perelom-stopy.html
Лечение маршевого перелома (маршевой стопы)

Болезнь, возникающая в результате больших физических нагрузок на стопу, связанная с изменением или патологией в структуре плюсневых костей, носит название маршевого перелома или болезни Дейчлендера.
Маршевая стопа часто появляется у людей, привычно имеющих низкую активность, но в силу обстоятельств решивших выполнить большие физические нагрузки. В основном развивается на 2 плюсневой кости и имеет благоприятный прогноз к выздоровлению.
Различают хроническую форму проявления или первичную острую, связанную с воздействием травмирующих факторов.
Симптомы
Человек ощущает:
- при ходьбе острую боль на середине стопы;
 - неуверенность при ходьбе;
 - затянувшуюся на несколько месяцев хромоту;
 - припухлость стоп;
 - воспаленность и при пальпации болезненность в области плюсны.
 
Маршевый перелом стопы не имеет часто встречающихся при подобных травмах симптомов – покраснений, повышения температуры, подкожных кровоизлияний, изменений в формуле крови.
Причины
Детальное изучение трансформаций, связанных с болезнью, показало разрушение костных тканей на участке поражения и появление на их месте новых мозольно-костных образований.
Маршевая стопа является особым видом патологической перестройки костных структур в плюсневых костях.
Иногда они рассматривалась как скрытые переломы, но понятие не имеет под собой почвы, поскольку в большинстве случаев не нарушена целостность кости и нет привычного контура надлома, их разрушение происходит изнутри.
Существуют две причины появления данной травмы – травматическая, полученная в результате удара или сильного воздействия на участок стопы, и усталостная – приобретенная в результате больших нагрузок.
Профилактика
Чтобы избежать появления серьезных последствий травмы необходимо придерживаться правил предосторожности и это легче сделать, если выполнять рекомендованные врачом профилактические меры:
- маршевая стопа требует точной и своевременной диагностики специалиста, при возникновении проблем необходима консультация врача;
 - важно удобство в ношении обуви, соответствие размеру;
 - исключить, непривычные для вас, длительные пешие походы;
 - серьезное отношение к профосмотрам, способным выявить проблему;
 - рекомендации ортопеда при выборе профессии, основанных на показателях работы организма и состояния костных тканей пациента.
 

